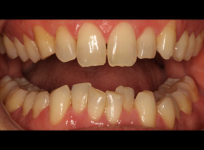
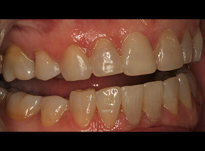
Gallery: Invisalign Case #1BeforeAfterEnlargeCase #2BeforeAfterEnlargeCase #3BeforeAfterEnlargeCase #4BeforeAfterEnlarge