Skip to main content
Menu
Home
Our Doctors
Meet Our Doctors
Cathy J Santone DDS
Megan Dietz DDS
Elizabeth Rodriguez DDS
Dr. Jack Santone
Our Office
About Us
Meet the Team
Financial Options and Responsibilities
Patient Information
Online Reviews
Green Practice
Blog
Dental Services
Cosmetic Dentistry
Cosmetic Dentistry Options
Porcelain Dental Veneers
Invisalign
®
Six Month Smiles
®
ClearCorrect
™
Teeth Whitening
Dental Crowns
Cosmetic Bonding
Smile Makeovers
Gum Recontouring
General Dentistry
General Dentistry Options
Tooth-Colored Fillings
Gum and Periodontal Care
Dental Restorations and Crowns
Dental Cleanings
Anesthesia Reversal
Night Guards and Mouth Guards
Oral Cancer Screening
Dental Sealants
Progressive Dentistry
Progressive Dentistry Options
BOTOX
®
Cosmetic
Dental Implants
Sedation Dentistry
Sleep Apnea
Laser Dentistry
Laser Dentistry Treatment
Cold Sore Treatment
TMJ Disorder
Progressive Technology
Smile Gallery
Contact
760.753.0908
Encinitas Cosmetic Dentistry
Home
/
Gallery
/
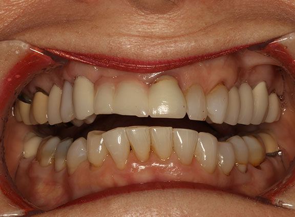
Dental Crown and Bridge Restorations
/
Patient 4
Gallery: Case 4
Previous
Next
Before
After
Before
After
Before
After
Description:
Crown and Bridge